Kalcinacija rame (kalcinirajoči tendinitis) – študija primera
POVZETEK ZDRAVLJENJA
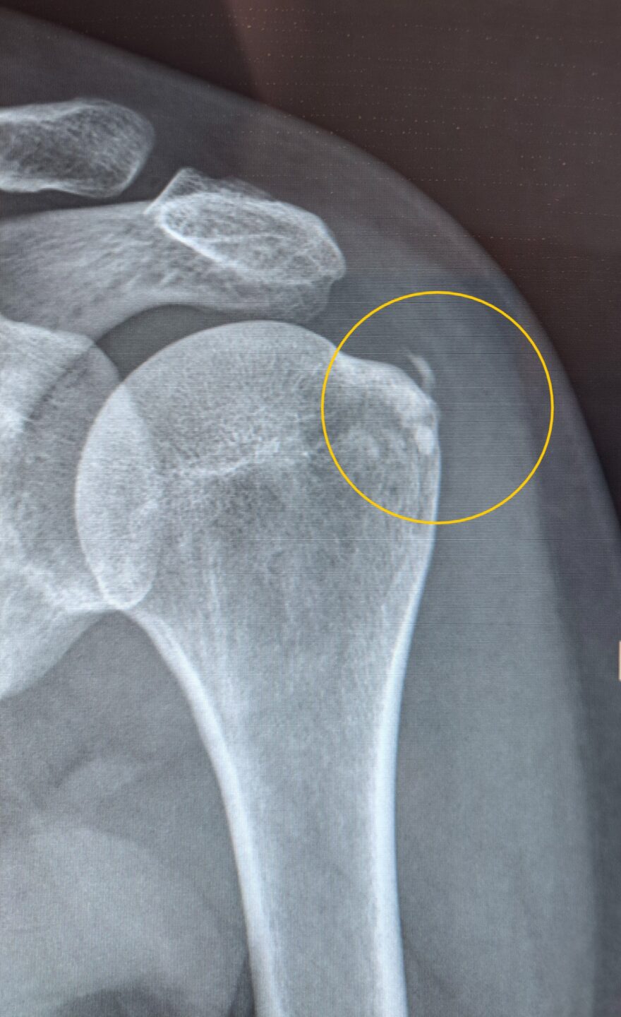
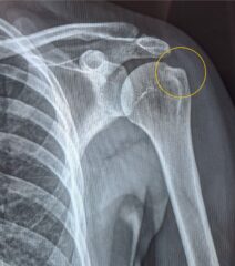
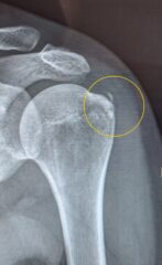
44-letna pacientka je prišla v ambulanto z bolečinami in omejeno gibljivostjo v desni rami, kjer je RTG pokazal kalcinacijo. V Meridian-fit smo izvedli dvostopenjsko zdravljenje.
- Prva faza je vključila TECAR terapijo, ultrazvok, ESWT in visokofrekvenčni SUMMUS laser, ki so pripomogli k zmanjšanju bolečine, razgradnji kalcinacij in pospešitvi regeneracije tkiva. Miofascialna terapija je dodatno sprostila napete mišice in izboljšala gibljivost.
- V druga faza je vključevala specifične vaje za povečanje gibljivosti in krepitev ramenskih mišic.
Po 6 terapiji se je gibljivost rame bistveno izboljšala, bolečina pa se je skoraj popolnoma umirila. Po 9 terapiji je pacientka začela samostojno izvajati vaje, z občutno zmanjšano bolečino pri dnevnih aktivnostih. Po 12 terapiji je RTG potrdil uspešno zdravljenje kalcinacije, funkcionalno testiranje pa je pokazalo popolno odpravo bolečine. Pacientka je dosegla pomembno izboljšanje kakovosti življenja in lahko brez težav opravlja vsakodnevne aktivnosti.
Anamneza
V fizioterapevtsko ambulanto meridian-fit prihaja 44 let stara gospa z bolečino in omejeno gibljivostjo v desni rami. Opravljen je bil tudi RTG slikovno diagnostiko kjer nakazuje na kalcinacijo desne rame. Glede na teste, ki smo jih izvedli v ambulanti in na podlagi slikovne diagnostike smo lažje sestavili plan zdravljenja za našo pacientko.

O patologiji
Kalcinacija rame je stanje, pri katerem se v tetivah rotatorne manšete, najpogosteje v supraspinatus tetivi, začnejo odlagati kalcijevi kristali. To lahko povzroči bolečino, omejeno gibljivost in občutek nelagodja v rami. Natančen vzrok kalcinacije ni povsem znan, vendar se pogosto pojavi pri ljudeh srednjih let in je lahko povezana s preobremenitvijo ramenskih mišic, slabo prekrvavitvijo tetiv ali degenerativnimi spremembami. Simptomi vključujejo nenadno ali postopno bolečino v rami, ki je lahko zelo intenzivna, zlasti ponoči, ter omejeno gibanje rame. Bolečina se lahko poslabša pri določenih gibih, kot je dvigovanje roke. Zdravljenje kalcinacije rame lahko traja od nekaj tednov do več mesecev, odvisno od resnosti. Vključuje konzervativne metode, kot so počitek, protivnetna zdravila, veliko fizioterapija in terapija z udarnimi globinskimi valovi (ESWT). V hujših primerih je morda potrebna artroskopska odstranitev kalcinacij.
Zdravljenje
Fizioterapevtska obravmava kalcinacij v meridan-fit obsega dve fazi. V prvi fazi se poslužujemo našim naprednim fizikalnim agensom kot so TECAR terapija, ki vpliva na samoceljenje, obnovo, ter regeneracijo tkiva, posledično zmanjšuje bolečino, za povrh vseh pozitivnih kliničnih indikacij pa zagotavlja blagodejno terapijo, ki ni boleča. V terapijo se vključi ULTRAZVOK v kambinaciji z ESWT globinskimi udarnimi valovi, ki Stimulirajo zdravljenje tkiva saj povzročijo mikroskopske poškodbe v tkivih, kar spodbuja proces naravnega zdravljenja. To pomeni, da se poveča prekrvavitev na prizadetem območju, kar prinaša več kisika in hranil, kar pospeši obnovo tkiv. ESWT pripomore k razbijanju kalcifikacij, kar omogoči telesu, da jih absorbira ali razgradi.
ESWT pripomore tudi k zmanjšanj bolečine saj vpliva na živčne končiče in lahko začasno zmanjšajo občutljivost za bolečino. Poleg tega se s stimulacijo sproščajo endorfini, naravni zaviralci bolečine v telesu. V terapijo se vključi tudi visokofrekvenčni SUMMUS laser, ki zaradi svojih protivnetnih in analgetičnih učinkov pripomore k centralizaciji simptomov. Laser poveča prekrvavitev in celično presnovo na prizadetem območju, kar pospeši razgradnjo kalcinacij in spodbuja regeneracijo tkiva. Prav tako zmanjša bolečino in vnetje, kar prispeva k hitrejšemu okrevanju in izboljšanju gibljivosti rameenskega sklepa. Zelo pomemben del v meridian-fit je tudi Miofascialna terapija, ki pri kalcinaciji rame pomaga sprostiti napete mišice in fascijo okoli prizadetega območja, kar zmanjša bolečino in izboljša gibljivost. Z zmanjšanjem mišičnih napetosti in izboljšanjem prekrvavitve miofascialna terapija podpira razgradnjo kalcinacij, zmanjšuje pritisk na tetive in pospešuje celjenje vnetega tkiva.
V drugem delu zdravlenja pa vklučimo aktivno vlog pacienta. S specifičnimi vajami za ramesnki sklep dosežemo postopno povečanje gibljivosti rame. Zelo pomembn je tudi krepiti mišice rameskega sklepa saj s tem razbremenimo sklep.
Po prviih šestih terapijah se je stanje bistveno izboljšalo. Gibiljivost je bila primerljiva z levo ramo. Bolečina se je bistveno zmanjšala, v mirovanju je popolnoma izginila, ob elevaciji roke pa je nekoliko na koncu giba še prisotna. Zato smo se odločili za nov cikelj terapij. Po 9 terapija je gospa že samostojno izvajala naučene vaje, bolečina ob izvajanju dnevih opravil je bilo bistveno manjša, ob določenem gibu kjer je roka nad nivojem glave še začuti rahlo špikanje vendar jo ne ovira koliko kot pred pričetkom fizioterapije.
Po 12 terapiji v meridian-fit je gospa opravila RTG, kateri je pokazal na uspešno zdravljenje kalcinacije v rami. Ob zadnji fizioterapevstki obravi smo izvedli tudi funkcionalno testitanje kjer gospa ni več čutila bolečine.


Rezultati
Po začetnih šestih terapijah je bila funkcionalnost rame izrazito izboljšana. Gibljivost se je približala normalnim vrednostim na primerjavi z nepoškodovano ramo, bolečina pa se je zmanjšala, v mirovanju je skoraj popolnoma izginila. Ob dvigovanju roke se je ohranil le še blag nelagodje. Po devetih terapijah je pacientka začela samostojno izvajati vaje, bolečina ob vsakodnevnih aktivnostih se je znatno zmanjšala, pri določenih gibih, kjer je roka dvignjena nad nivojem glave, je občutila le še rahlo špikanje, ki ni vplivalo na njeno funkcionalnost. Po dvanajstih terapijah je RTG potrdil uspešno zdravljenje kalcinacije, medtem ko je funkcionalno testiranje pokazalo popolno odpravo bolečine. Pacientka je dosegla pomembno izboljšanje kakovosti življenja, saj je lahko normalno izvajala vse dnevne aktivnosti brez omejitev ali bolečin.
Elvis Kudich, dipl. Fiziot.
Rezerviraj svoj termin.
Z izbiro storitve iz spodnjega seznama se lahko naročite na prost termin in storitev. Najprej izberite željeno storitev, nato pa izberite še datum in uro storitve, ter fizioterapevta. Z oddajo svojih podatkov v zadnjem koraku potrdite naročilo na izbrani termin.
Rezerviraj